Dr.BLOG

中村ドクターブログ
記事一覧
2015年03月15日画像あり新宿院院長 (大阪梅田院) 中村にお任せ下さい! ☆☆美瞳を目指して! No.698 ≪クイークコスメティーク法≫ ☆☆一重を自然な末広型に!!術直後☆
2015年03月14日画像あり新宿院院長 (大阪梅田院) 中村にお任せ下さい! ☆☆圧倒的症例数!!☆☆4Dスカルプ(ベイザー最高峰)認定医☆☆ 美バストを目指して! No.688  ≪Vaser併用 コンデンスリッチバスト(CRF協会認可)脂肪幹細胞注入法≫☆☆
2015年03月13日画像あり☆☆4Dスカルプ(ベイザー最高峰)認定医☆☆新宿院院長  整形外科専門医 中村にお任せ下さい!美BODY脂肪吸引 No.472 ☆圧倒的症例数☆ 美脚ラインを目指して! ≪Vaser脂肪吸引 (太もも・お尻・ひざ) No.268≫☆☆術前〜術後1ヶ月〜術後3ヶ月
2015年03月12日画像あり新宿院院長 中村にお任せ下さい! ☆☆美瞳を目指して! No.697 ≪全切開法≫ ☆☆重い瞼を平行型二重に!!術前〜術後1ヶ月☆
2015年03月11日画像あり新宿院院長 中村にお任せ下さい! ☆☆美瞳を目指して! No.696 ≪目頭切開プレミアム + クイックコスメティーク法 + デカ目タッキング≫ ☆☆奥二重をぱっちり平行型に広げたい!!術前〜術後3ヶ月☆
2015年03月10日画像あり☆☆4Dスカルプ(ベイザー最高峰)認定医☆☆新宿院院長  整形外科専門医 中村にお任せ下さい!美BODY脂肪吸引 No.471 ☆圧倒的症例数☆ 美脚ラインを目指して! ≪Vaser脂肪吸引 (太もも・お尻・ひざ) No.267≫☆☆
2015年03月09日画像あり新宿院院長 中村にお任せ下さい! ☆☆美瞳を目指して! No.695 ≪クイークコスメティーク法 + デカ目タッキング≫ ☆☆重い瞼をスッキリ二重に!瞼の開きを確保しながら!術前〜術直後〜術後1週間☆
2015年03月08日画像あり☆☆4Dスカルプ(ベイザー最高峰)認定医☆☆新宿院院長  整形外科専門医 中村にお任せ下さい!美BODY脂肪吸引 No.470 ☆圧倒的症例数☆ 美脚ラインを目指して! ≪Vaser脂肪吸引 (太もも後面・お尻・ひざ) No.266≫☆☆
2015年03月07日画像あり新宿院院長 (大阪梅田院) 中村にお任せ下さい! ☆☆圧倒的症例数!!☆☆4Dスカルプ(ベイザー最高峰)認定医☆☆ 美バストを目指して! No.687  ≪Vaser併用 コンデンスリッチバスト(CRF協会認可)脂肪幹細胞注入法≫☆☆
2015年03月06日画像あり新宿院院長 (大阪梅田院) 中村にお任せ下さい! ☆☆圧倒的症例数!!☆☆4Dスカルプ(ベイザー最高峰)認定医☆☆ 美バストを目指して! No.686  ≪Vaser併用 コンデンスリッチバスト(CRF協会認可)脂肪幹細胞注入法≫☆☆
[ ←前 ] [ 次→ ]
 
新宿院院長 (大阪梅田院) 中村にお任せ下さい! ☆☆美瞳を目指して! No.698 ≪クイークコスメティーク法≫ ☆☆一重を自然な末広型に!!術直後☆ 2015年03月15日
新宿本院にて、日々美容医療に熱く!取り組ませていただいております。

新宿本院院長 中村

二重術フォトギャラリー症例数 ダントツトップ☆

9400枚突破☆☆リアルをお伝えします!!

2010年度、顧客満足獲得票、2位のDr.に倍の差をつけて、中村が湘南美容外科全ドクターの中でダントツNo.1!(本部調べ)2011・2012年は僅差で2位(4票差)2010〜2012年総獲得票ダントツNo.1!2013年もトップを目指します


僕には美容医療を通じて、悩みを持った方のコンプレックスを解消し、もっと良くなりたい!という方のお手伝いをすることにより、世の中を良くしていくという使命があります

美瞳は、新宿本院院長 中村にお任せください!


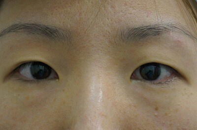
本日のモニター様写真は、20代前半女性です。


『一重を自然な末広型に広げたい!直後からバレたくない!!』



とのご相談をいただき、


新宿本院院長、私中村施術にて、≪クイークコスメティーク法≫

を受けていただきました。

クイークコスメティーク法は、術後の腫れ・内出血を最小限に抑えることが可能です^^

クイークコスメティーク法は、直後からお化粧できるのが最大のメリットです。当日から職場やご家族に知られたくない方にお勧めです

また今まで問題となっていた糸の結び目が外からはわかりません!!

とても綺麗な瞳が、この方の自信につながり、より良い人生を過ごしていただければ、僕はとても嬉しいです^^


1、術前・・・一重を自然な末広型に!直後からバレたくない!!ずっと考えていたことを、私中村に相談し、行動に移されました。



2、術直後30秒・・・とても素敵な瞳です^^クイークコスメティーク法は直後からお化粧ができるのが最大のメリットです☆お化粧をすれば、今日受けたとは、わかりません!!お手軽な方法でラインがスッキリしたことにご満足いただけました!とても綺麗な瞳が、この方の自信につながり、より良い人生を過ごしていただければ、僕はとても嬉しいです^^



3、術前



4、術直後30秒



5、術前



6、術直後30秒




切開法・埋没法二重術・目頭切開法は、一見単純な処置のようですが、0.5mm単位で印象が変わってくる、とても繊細で奥深い処置です。

出来る限りご希望のラインにさせていただくべく、私中村も気合いを入れて、カウンセリングに臨ませていただきます。

カウンセリング・デザインはお時間をかけて丁寧にしっかりと行わせていただき、

施術は痛みを完全にとった上で繊細に丁寧にかつ、瞼の負担を最小限にすべく無駄な動きなくスピーディーに行わせていただきます。


私中村にご希望のラインをお伝えいただければ、思い通りのラインにさせていただきます!


美瞳は、私中村にお任せ下さいませ!






             
新宿本院院長 中村大輔

中村のSBC美容ブログ 症例写真まとめ



美バストバックナンバー    美BODYバックナンバー

若返りバックナンバー    美瞳バックナンバー




中村大輔のモニター募集