| 池袋院院長(大阪梅田院・神戸院・品川院) 中村にお任せください! ☆☆目の下の切らないタルミとり(プレミアム) No.20☆☆ |
2013年03月08日 |
|
池袋院院長 中村
フォトギャラリー症例数 ダントツトップ!
6000枚突破☆☆リアルをお伝えします!!
2010年度、顧客満足獲得票、2位のDr.に倍の差をつけて、中村が湘南美容外科内ダントツNo.1!(本部調べ)2012年もトップを目指します☆
アンチエイジングは、池袋院院長 中村にお任せください。
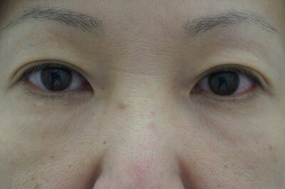
写真は30歳代前半女性です。
私中村に、
『目の下のクマが気になる、、、お化粧で隠せない、、、』
とのご相談をいただき、
私中村担当にて、≪切らない目の下のタルミとり(プレミアム)≫の施術を、受けていただきました。
最初からダウンタイムも少なく、術後2週間である程度完成、術後2ヶ月では完全に馴染んでいる状態です。
切らない方法で傷あとは残りません切らない方法の中では、最大の結果を見込める方法です☆
1、術前・・・目の下のクマが気になる、、、お化粧で隠せない、、、とのご相談をいただきました。
2、術後1ヶ月・・・目の下のクマは目立ちにくくなりました!皮膚のゆとりが気になられる場合は、PRP血小板療法・CO2レーザー、もしくは皮膚切除といった段階・選択肢があります。この方の自信につながり、よりよい人生をお送りいただければ、僕は嬉しいです^^
3、術前
4、術後1ヶ月
5、術前
6、術後1ヶ月
目の下・ほうれい線・ゴルゴラインでお悩みの方は、私中村にご相談くださいませ!
それぞれの若返りの施術を詳しくご説明させていただき、最小限のご負担で最大限の効果を出せる方法を、ご提案させていただきます。
池袋院院長 中村大輔
中村のSBC美容ブログ バックナンバー


 【Dr中村プロフィール】【Dr中村フォトギャラリー】 【Dr中村お客様の声】【Dr中村無料メール相談】【Dr中村ブログ】

 |
|