Dr.BLOG

中村ドクターブログ
記事一覧
2010年04月03日画像あり私中村にお任せ下さい! ☆☆美瞳を目指して! No.105 ≪2daysクイック法(両眼3点)≫ ☆☆一重をパッチリ平行型に!
2010年04月02日画像あり私中村にお任せ下さい! ☆☆美バストを目指して! No.122  ≪MAX脂肪幹細胞注入法≫☆☆
2010年04月01日画像あり私中村にお任せ下さい!美BODY脂肪吸引 No.87 ☆☆美脚を目指して! ≪メタボリック根こそぎ脂肪吸引(太もも・お尻・ひざ) No.45≫☆☆
2010年03月31日画像あり私中村にお任せ下さい! ☆☆美瞳を目指して! No.104 ≪2daysクイック法(両眼2点)≫ ☆☆一重を愛らしい二重に!
2010年03月30日画像あり池袋院院長 中村のSBC美容ブログ  バックナンバー1  ≪豊胸≫
2010年03月29日画像あり池袋院院長 中村のSBC美容ブログ  バックナンバー2  ≪脂肪吸引≫
2010年03月28日画像あり池袋院院長 中村のSBC美容ブログ  バックナンバー3  ≪若返り施術・フェイスライン・CO2レーザー≫
2010年03月27日画像あり池袋院院長 中村のSBC美容ブログ  バックナンバー4  ≪二重術・目頭切開術≫
2010年03月26日画像あり私中村にお任せ下さい! ☆☆美バストを目指して! No.121  ≪シリコンバッグ取り出し≫と同時に≪メガ脂肪幹細胞注入法≫☆☆
2010年03月25日画像あり私中村にお任せ下さい!美BODY脂肪吸引 No.86 ☆☆美脚を目指して! ≪メタボリック根こそぎ脂肪吸引(太もも・お尻・ひざ) No.44≫☆☆細めの方を、より細く!
[ ←前 ] [ 次→ ]
 
池袋院院長 中村のSBC美容ブログ  バックナンバー3  ≪若返り施術・フェイスライン・CO2レーザー≫ 2010年03月28日

☆☆リッチフェイス法(ほうれい線)☆☆ 術前



☆☆リッチフェイス法(ほうれい線)☆☆ 術後



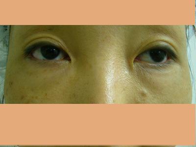
★★目の下の切らないタルミとり★★ 術前



★★目の下の切らないタルミとり★★ 術後






≪PR≫

まずはお客様とのカウンセリングを重要と考え、外見のみならず内面の美しさをも引き出すお手伝いをさせていただければと思います。また、確かな結果を提供すべく、美的センスやテクニックなども日々研鑽しています。

カウンセリングから施術、および経過フォローまで、全て責任を持って行わせていただきますので、まずはお気軽にご相談下さい!


≪モニター様募集≫
池袋院 モニター様 募集中です!


≪フォトギャラリー≫
Dr.中村 フォトギャラリー   


≪若返り施術≫
≪アクトレス・リフト≫ の経時的変化
ご自分の脂肪で、若返り! @ ≪リッチ・フェイス法(ほうれい線)≫
ご自分の脂肪で、若返り! A ≪リッチ・フェイス法(ほうれい線)≫
ご自分の脂肪で、若返り! B ≪リッチ・フェイス法(目の下)≫
ご自分の脂肪で、若返り! C ≪リッチ・フェイス法(ほうれい線)≫
ご自分の脂肪で、若返り! D ≪リッチ・フェイス法(目の下)≫
ご自分の脂肪で、若返り! E ≪リッチ・フェイス法(ほうれい線)≫
ご自分の脂肪で、若返り! F ≪リッチ・フェイス法(ゴルゴライン)≫
ご自分の脂肪で、若返り! G−1 ≪リッチ・フェイス法(ほうれい腺)≫
ご自分の脂肪で、若返り! G−2 ≪リッチ・フェイス法(ほうれい線)≫
ご自分の脂肪で、若返り! H ≪リッチ・フェイス法(ほうれい線)≫
ご自分の脂肪で、若返り! I ≪リッチ・フェイス法(ほうれい線)≫
ご自分の脂肪で、若返り! J ≪リッチ・フェイス法(ほうれい線)≫
ご自分の脂肪で、若返り! K ≪リッチ・フェイス法(ほうれい線・ゴルゴライン)≫
ご自分の脂肪で、若返り! L ≪リッチ・フェイス法(ほうれい線)≫
ご自分の脂肪で、若返り! M ≪リッチ・フェイス法(ほうれい線)≫
ご自分の脂肪で、若返り! N ≪リッチ・フェイス法(ほうれい線)≫
ご自分の脂肪で、若返り! O ≪リッチ・フェイス法(ほうれい線)≫
ご自分の脂肪で、若返り! P ≪リッチ・フェイス法(ほうれい線・ホホ)≫
ご自分の脂肪で、若返り! Q ≪リッチ・フェイス法(ほうれい線)≫
ご自分の脂肪で、若返り! R ≪リッチ・フェイス法(目の下)≫
ご自分の脂肪で、若返り! A◎ ≪リッチ・フェイス法(ほうれい線)≫
ご自分の脂肪で、若返り! A@ ≪リッチ・フェイス法(ほうれい線・ホホ)≫
ご自分の脂肪で、若返り! AA ≪リッチ・フェイス法(ほうれい線・ゴルゴライン)≫

目の下のタルミとり≪アイバックリムーブ法≫


≪目の下の切らないタルミとり≫
@
A
B
C
D
E
F


≪ヒアルロン酸(ラディエッセ)注入≫
@≪アゴ≫
A≪鼻筋≫
B≪アゴ≫
C≪アゴ≫

≪CO2レーザー≫
@
A
B
C
D
E
Fプレミアム

わくゴー体験談☆≪CO2レーザー≫





毎日更新しております!!





中村医師のプライベートブログ