Dr.BLOG

中村ドクターブログ
記事一覧
2010年02月02日画像あり私中村にお任せ下さい! 美BODY脂肪吸引 No.73 ☆☆美ウエストラインを目指して!   ≪メタボリック根こそぎ脂肪吸引(お腹周り)No.22≫☆☆
2010年02月01日画像あり私中村にお任せ下さい! ☆☆美瞳を目指して! No.85 ≪2daysクイック法(両眼3点)≫ ☆☆奥二重をはっきり平行型二重に!
2010年01月31日画像あり私中村にお任せ下さい! ☆☆ご自分の脂肪で若返り! No.20 ≪リッチフェイス法(ほうれい線)≫☆☆
2010年01月30日画像あり私中村にお任せください! ☆☆目の下の切らないタルミとり No.5☆☆
2010年01月29日画像あり私中村にお任せ下さい! ☆☆美バストを目指して! No.108  ≪MAX脂肪幹細胞注入法≫☆☆
2010年01月28日画像あり私中村にお任せ下さい!美BODY脂肪吸引 No.72 ☆☆美脚を目指して! ≪メタボリック根こそぎ脂肪吸引(ふくらはぎ・足首) No.37≫☆☆
2010年01月27日画像あり私中村にお任せ下さい! ☆☆美瞳を目指して! No.84 ≪2daysクイック法(両眼2点)≫ ☆☆一重を広めの末広型二重に!
2010年01月26日画像あり私中村にお任せ下さい! ☆☆美瞳を目指して! No.83 ≪2daysクイック法(両眼3点)≫ ☆☆重くなった一重を自然な二重に!
2010年01月25日画像あり私中村にお任せ下さい! ☆☆ご自分の脂肪で若返り! No.19 ≪リッチフェイス法(目の下)≫☆☆
2010年01月24日画像あり私中村にお任せ下さい! 美BODY脂肪吸引 No.71 ☆☆美ウエストラインを目指して!   ≪メタボリック根こそぎ脂肪吸引(お腹周り)No.21≫☆☆
[ ←前 ] [ 次→ ]
 
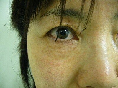
私中村にお任せ下さい! ☆☆ご自分の脂肪で若返り! No.19 ≪リッチフェイス法(目の下)≫☆☆ 2010年01月25日



写真は50歳代前半女性です。

私中村に、

『目の下のタルミ・クマが気になる・・・』

とのご相談をいただき、


私中村担当にて、≪リッチフェイス法(旧トランス法)目の下≫の施術を、受けていただきました。


目の下が、目立たなくなり、とてもご満足いただけましたよ!


切らない方法で傷あとは残りませんし、ヒアルロン酸より勝る点は、効果が永続的ということです。




1、術前



2、術後1ヶ月



3、術前



4、術後1ヶ月



5、術前



6、術後1ヶ月






目の下・ほうれい線・ゴルゴラインでお悩みの方は、私中村にご相談くださいませ!

それぞれの若返りの施術を詳しくご説明させていただき、最小限のご負担で最大限の効果を出せる方法を、ご提案させていただきます。


            池袋院院長 中村大輔




私中村のSBC美容ブログ  バックナンバー@  ≪豊胸≫
私中村のSBC美容ブログ  バックナンバーA  ≪脂肪吸引≫
私中村のSBC美容ブログ  バックナンバーB  ≪若返り施術・フェイスライン≫
私中村のSBC美容ブログ  バックナンバーC  ≪二重・目頭切開≫





毎日更新しております!!





中村医師のプライベートブログ