Dr.BLOG

中村ドクターブログ
記事一覧
2010年01月23日画像あり私中村にお任せ下さい! ☆☆美瞳を目指して! No.82 ≪2daysクイック法(両眼2点)≫ ☆☆一重を自然な末広型に!
2010年01月22日画像あり私中村にお任せ下さい! ☆☆ご自分の脂肪で若返り! No.18 ≪リッチフェイス法(ほうれい線)≫☆☆
2010年01月21日画像あり私中村にお任せ下さい! ☆☆美バストを目指して! No.107  ≪MAX脂肪幹細胞注入法≫☆☆
2010年01月20日画像あり私中村にお任せください! 美BODY脂肪吸引 No.70 美フェイスラインを目指して! ≪ホホ・アゴの根こそぎ脂肪吸引 No.3 ≫
2010年01月19日画像あり私中村にお任せ下さい! ☆☆美瞳を目指して! No.81 ≪2daysクイック法(両眼3点)≫ ☆☆ボンヤリしたラインを、目尻を少し上げて、ハッキリと!
2010年01月18日画像あり私中村にお任せください! ☆☆目の下の切らないタルミとり No.4☆☆
2010年01月17日画像あり私中村にお任せ下さい! 美BODY脂肪吸引 No.69 ☆☆美ウエストラインを目指して! No.20  ≪メタボリック根こそぎ脂肪吸引(お腹周り≫☆☆
2010年01月16日画像あり私中村にお任せください! ☆☆目の下の切らないタルミとり No.3☆☆
2010年01月15日画像あり私中村にお任せ下さい! ☆☆美バストを目指して! No.106  ≪メガ脂肪幹細胞注入法≫☆☆
2010年01月14日画像あり私中村にお任せ下さい! ☆☆美瞳を目指して! No.80 ≪2daysクイック法(両眼2点)≫ ☆☆一重を末広型に!オペ直後
[ ←前 ] [ 次→ ]
 
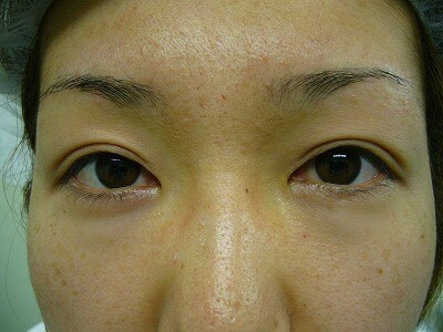
私中村にお任せ下さい! ☆☆美瞳を目指して! No.81 ≪2daysクイック法(両眼3点)≫ ☆☆ボンヤリしたラインを、目尻を少し上げて、ハッキリと! 2010年01月19日



美バスト・美BODY・美瞳 を目指して!

池袋西口駅前にて、日々美容医療に熱く!取り組ませていただいております。


豊胸術・脂肪吸引・二重術の手術件数は、トップレベルです☆

豊胸術・脂肪吸引・二重術は、池袋院院長 中村にお任せください。





最小限の瞼の処置で、最大限の効果を!!

それが、私中村こだわりの“2DAYSクイック法”です




本日のモニター様写真は、20代後半女性です。


『ぼんやりしたラインを、目尻側を少し広くしつつ、ハッキリとしたラインにしたい!!』



とのご相談をいただき、


池袋院院長、私中村施術にて、≪2daysクイック法(両眼3点)≫

を受けていただきました。




平行型は、通常3点がお勧めです。

末広型は、2点留めで行わせていただくことが通常ですが、瞼の脂肪が分厚くてラインが出にくい方や、ご年齢で皮膚に余裕のある方は、3点留めで行わせていただいた方が、ラインは美しく、また糸の耐久性が向上します。

予定のラインの広さに比例して、腫れがでます。予定が広めの平行型ラインの場合、2daysクイック法でも、腫れは広めに出ますが、術翌日がピークで、5日程度みていただければ、お化粧でわからないレベルに落ち着きます。



1、術前



2、術後8ヶ月



3、術前



4、術後8ヶ月


 
5、術前



6、術後8ヶ月





二重の施術は、一見単純な処置のようですが、0.5mm単位で印象が変わってくる、とても繊細で奥深い処置です。

出来る限りご希望のラインにさせていただくべく、私中村も気合いを入れて、カウンセリングに臨ませていただきます。

カウンセリング・デザインはお時間をかけて丁寧にしっかりと行わせていただき、

施術は痛みを完全にとった上で繊細に丁寧にかつ、瞼の負担を最小限にすべく無駄な動きなくスピーディーに行わせていただきます。



私中村にご希望のラインをお伝えいただければ、思い通りのラインにさせていただきます!


≪2daysクイック法・目頭切開術≫は、私中村に、お任せ下さいませ!


             池袋院院長 中村大輔





私中村のSBC美容ブログ  バックナンバー@  ≪豊胸≫
私中村のSBC美容ブログ  バックナンバーA  ≪脂肪吸引≫
私中村のSBC美容ブログ  バックナンバーB  ≪若返り施術・フェイスライン≫
私中村のSBC美容ブログ  バックナンバーC  ≪二重・目頭切開≫







毎日更新しております!!





中村医師のプライベートブログ