Dr.BLOG

中村ドクターブログ
記事一覧
2010年01月03日画像あり私中村にお任せ下さい! ☆☆美瞳を目指して! No.77 ≪2daysクイック法(両眼2点)≫ ☆☆一重を末広型に!!施術直後
2010年01月02日画像あり私中村にお任せ下さい! ☆☆美バストを目指して! No.104  ≪MAX脂肪幹細胞注入法≫☆☆
2010年01月01日画像あり私中村にお任せ下さい! ☆☆美ウエストラインを目指して! No.19  ≪メタボリック根こそぎ脂肪吸引(お腹周り≫☆☆
2009年12月31日画像あり私中村にお任せ下さい! ☆☆美瞳を目指して! No.76 ≪2daysクイック法(両眼2点)≫ ☆☆一重をうっすら自然な末広型ラインに!!
2009年12月30日画像あり私中村にお任せ下さい! ☆☆美瞳を目指して! No.75 ≪2daysクイック法(両眼3点)≫ ☆☆ぼんやりしたラインをくっきり平行型二重に!!
2009年12月29日画像あり私中村にお任せ下さい! ☆☆美バストを目指して! No.103  ≪MAX脂肪幹細胞注入法≫☆☆
2009年12月28日画像あり私中村にお任せ下さい! ☆☆美バストを目指して! No.102  ≪MAX脂肪幹細胞注入法≫☆☆
2009年12月27日画像あり私中村にお任せ下さい! ☆☆美バストを目指して! No.101  ≪マクロレーンファイン(ヒアルロン酸)による豊胸術≫☆☆
2009年12月26日画像あり私中村にお任せ下さい! ☆☆美脚を目指して! No.35 ≪メタボリック根こそぎ脂肪吸引(太もも・お尻・お膝・ふくらはぎ・足首)≫☆☆
2009年12月25日画像あり私中村にお任せ下さい! ☆☆美瞳を目指して! No.74 ≪2daysクイック法(両眼2点)≫ ☆☆左右差を解消して、広めの末広型に!
[ ←前 ] [ 次→ ]
 
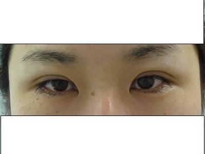
私中村にお任せ下さい! ☆☆美瞳を目指して! No.74 ≪2daysクイック法(両眼2点)≫ ☆☆左右差を解消して、広めの末広型に! 2009年12月25日



美バスト・美BODY・美瞳 を目指して!

池袋西口駅前にて、日々美容医療に熱く!取り組ませていただいております。


豊胸術・脂肪吸引・二重術の手術件数は、トップレベルです☆

豊胸術・脂肪吸引・二重術は、池袋院院長 中村にお任せください。





最小限の瞼の処置で、最大限の効果を!!

それが、私中村こだわりの“2DAYSクイック法”です




本日のモニター様写真は、20代半ば女性です。


『右は一重・左は狭めの末広型ラインを、広め末広型ラインに広げたい!!』



とのご相談をいただき、


池袋院院長、私中村施術にて、≪2daysクイック法(両眼2点)≫

を受けていただきました。




平行型は、通常3点がお勧めです。

末広型は、2点留めで行わせていただくことが通常ですが、瞼の脂肪が分厚くてラインが出にくい方や、ご年齢で皮膚に余裕のある方は、3点留めで行わせていただいた方が、ラインは美しく、また糸の耐久性が向上します。

予定のラインの広さに比例して、腫れがでます。予定が広めの平行型ラインの場合、2daysクイック法でも、腫れは広めに出ますが、術翌日がピークで、5日程度みていただければ、お化粧でわからないレベルに落ち着きます。



1、術前



2、術直後



3、術前



4、術直後


 
5、術前



6、術直後





二重の施術は、一見単純な処置のようですが、0.5mm単位で印象が変わってくる、とても繊細で奥深い処置です。

出来る限りご希望のラインにさせていただくべく、私中村も気合いを入れて、カウンセリングに臨ませていただきます。

カウンセリング・デザインはお時間をかけて丁寧にしっかりと行わせていただき、

施術は痛みを完全にとった上で繊細に丁寧にかつ、瞼の負担を最小限にすべく無駄な動きなくスピーディーに行わせていただきます。



私中村にご希望のラインをお伝えいただければ、思い通りのラインにさせていただきます!


≪2daysクイック法・目頭切開術≫は、私中村に、お任せ下さいませ!


             池袋院院長 中村大輔





私中村のSBC美容ブログ  バックナンバー@  ≪豊胸≫
私中村のSBC美容ブログ  バックナンバーA  ≪脂肪吸引≫
私中村のSBC美容ブログ  バックナンバーB  ≪若返り施術・フェイスライン≫
私中村のSBC美容ブログ  バックナンバーC  ≪二重・目頭切開≫







毎日更新しております!!





中村医師のプライベートブログ