Dr.BLOG

中村ドクターブログ
記事一覧
2009年08月15日画像あり私中村にお任せ下さい! ☆☆美バストを目指して! EH  ≪MAX脂肪幹細胞注入法≫☆☆
2009年08月14日画像あり私中村にお任せ下さい! ☆☆ドレスが似合う美肩ラインを目指して! G  ≪根こそぎ脂肪吸引(二の腕・肩)≫☆☆
2009年08月13日画像あり私中村にお任せ下さい! ☆☆美瞳を目指して! BB ≪2daysクイック法(両眼2点)≫ ☆☆〜末広型デザイン・術直後〜
2009年08月12日画像あり私中村にお任せ下さい! ☆☆美瞳を目指して! BA ≪目頭切開術≫ ☆☆〜目頭切開でパッチリ二重に!(術後1ヵ月)〜
2009年08月11日画像あり私中村にお任せ下さい! ☆☆美脚を目指して! A◎ ≪メタボリック根こそぎ脂肪吸引(太もも・お尻・お膝)≫☆☆
2009年08月10日画像あり私中村にお任せ下さい! ☆☆美瞳を目指して! B@-2 ≪2daysクイック法(両眼2点)≫ ☆☆〜ラインを少しだけ広くしたい!(術後2週)〜
2009年08月09日画像あり私中村にお任せ下さい! ☆☆美瞳を目指して! B@-1 ≪2daysクイック法(両眼2点)≫ ☆☆〜ラインを少しだけ広くしたい!(術直後)〜
2009年08月08日画像あり私中村にお任せ下さい! ☆☆美バストを目指して! EG  シリコンバッグの形・固さにお悩みの方に! ≪インプラント取り出しと同時に、MAX脂肪幹細胞注入法≫☆☆
2009年08月07日画像あり私中村にお任せ下さい! ☆☆美瞳を目指して! B◎ ≪2daysクイック法(両眼2点)≫ ☆☆〜奥二重を自然な末広型に〜
2009年08月06日画像あり私中村にお任せ下さい! ☆☆美瞳を目指して! AH ≪2daysクイック法(両眼2点)≫ ☆☆〜末広型デザイン・術直後〜
[ ←前 ] [ 次→ ]
 
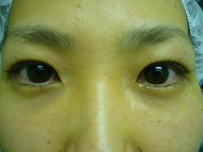
私中村にお任せ下さい! ☆☆美瞳を目指して! BB ≪2daysクイック法(両眼2点)≫ ☆☆〜末広型デザイン・術直後〜 2009年08月13日



最小限の瞼の処置で、最大限の効果を!!

それが、私中村こだわりの“2DAYSクイック法”です




本日のモニター様写真は、30歳代前半女性です。


『一重瞼を、自然な末広型ラインにしたい!!』



とのご相談をいただき、


新宿ANNEX院、中村施術にて、≪2daysクイック法(両眼2点)≫

を受けていただきました。


術直後のダウンタイムの少なさに、とてもご満足いただけました!



@術前



A術直後



B術前



C術直後


 
D術前



E術直後





二重の施術は、一見単純な処置のようですが、0.5mm単位で印象が変わってくる、とても繊細で奥深い処置です。

出来る限りご希望のラインにさせていただくべく、私中村も気合いを入れて、カウンセリングに臨ませていただきます。

カウンセリング・デザインはお時間をかけて丁寧にしっかりと行わせていただき、

施術は痛みを完全にとった上で繊細に丁寧にかつ、瞼の負担を最小限にすべく無駄な動きなくスピーディーに行わせていただきます。



私中村にご希望のラインをお伝えいただければ、思い通りのラインにさせていただきます!


≪2daysクイック法・目頭切開術≫は、私中村に、お任せ下さいませ!


             新宿ANNEX院院長 中村大輔







毎日更新しております!!





中村医師のプライベートブログ


『美容の杜』の取材を受けました!
ドクター中村関連記事

『匠.com』の取材を受けました!
ドクター中村関連記事


≪PR≫
新宿ANNEX院 @
新宿ANNEX院 A
新宿ANNEX院 B

私中村は、豊胸術・脂肪吸引を得意としています。

まずはお客様とのカウンセリングを重要と考え、外見のみならず内面の美しさをも引き出すお手伝いをさせていただければと思います。また、確かな結果を提供すべく、美的センスやテクニックなども日々研鑽しています。

カウンセリングから施術、および経過フォローまで、全て責任を持って行わせていただきますので、まずはお気軽にご相談下さい!


≪モニター様募集≫
新宿ANNEX院 モニター様 募集中です!


≪フォトギャラリー≫
Dr.中村 フォトギャラリー   


≪脂肪幹細胞注入豊胸術≫
≪脂肪幹細胞注入による豊胸術 @ ≫の経時的変化
≪脂肪幹細胞注入による豊胸術 A ≫の経時的変化
≪脂肪幹細胞注入による豊胸術 B ≫の経時的変化
≪脂肪幹細胞注入による豊胸術 C ≫の経時的変化
≪脂肪幹細胞注入による豊胸術 D ≫の経時的変化
≪脂肪幹細胞注入による豊胸術 E ≫の経時的変化
≪脂肪幹細胞注入による豊胸術 F ≫の経時的変化
≪脂肪幹細胞注入による豊胸術 G ≫の経時的変化
≪脂肪幹細胞注入による豊胸術 H ≫の経時的変化
メガ脂注!≪脂肪幹細胞注入による豊胸術 I−1 ≫の経時的変化
メガ脂注!≪脂肪幹細胞注入による豊胸術 I−2 ≫の経時的変化
メガ脂注!≪脂肪幹細胞注入による豊胸術 I−3 ≫の経時的変化
メガ脂注!≪脂肪幹細胞注入による豊胸術 I−4 ≫の経時的変化
メガ脂注!≪脂肪幹細胞注入による豊胸術 I−5 ≫の経時的変化
≪MAX脂肪幹細胞注入による豊胸術 J ≫の経時的変化

美バストを目指して! @ スーパー
美バストを目指して! Aー1スーパー
美バストを目指して! Aー2スーパー
美バストを目指して! BMAX
美バストを目指して! Cメガ
美バストを目指して! Dスーパー
美バストを目指して! Eメガ+バッグ除去
美バストを目指して! FMAX
美バストを目指して! GMAX
美バストを目指して! Hメガ
美バストを目指して! Iスーパー
美バストを目指して! JMAX
美バストを目指して! KMAX
美バストを目指して! LMAX
美バストを目指して! Mスーパー
美バストを目指して! NMAX
美バストを目指して! OMAX
美バストを目指して! Pスーパー
美バストを目指して! Qメガ
美バストを目指して! Rメガ+バッグ除去

美バストを目指して! SMAX+バッグ除去
美バストを目指して! A@スーパー
美バストを目指して! AAマクロレーン
美バストを目指して! ABマクロレーン
美バストを目指して! ACメガ
美バストを目指して! ADMAX
美バストを目指して! AEMAX
美バストを目指して! AFマクロレーン
美バストを目指して! AGMAX
美バストを目指して! AHスーパー
美バストを目指して! B◎−1メガ
美バストを目指して! B◎−2メガ
美バストを目指して! B◎−3メガ
美バストを目指して! B@MAX
美バストを目指して! BAMAX
美バストを目指して! BBMAX
美バストを目指して! BCMAX
美バストを目指して! BDマクロレーン
美バストを目指して! BEスーパー
美バストを目指して! BFMAX+根こそぎ(お腹周り)
美バストを目指して! BGスーパー
美バストを目指して! BHMAX
美バストを目指して! C◎MAX+バッグ除去
美バストを目指して! C@マクロレーン
美バストを目指して! CAスーパー
美バストを目指して! CBマクロレーン
美バストを目指して! CCMAX
美バストを目指して! CDメガ
美バストを目指して! CEスーパー
美バストを目指して! CFメガ
美バストを目指して! CGスーパー
美バストを目指して! CHメガ
美バストを目指して! D◎MAX
美バストを目指して! D@スーパー
美バストを目指して! DAMAX
美バストを目指して! DBメガ
美バストを目指して! DCMAX
美バストを目指して! DDMAX
美バストを目指して! DEMAX
美バストを目指して! DF−1メガ
美バストを目指して! DF−2メガ
美バストを目指して! DF−3メガ
美バストを目指して! DF−4メガ
美バストを目指して! DF−5メガ
美バストを目指して! DGメガ
美バストを目指して! DHMAX
美バストを目指して! E◎MAX
美バストを目指して! E@メガ
美バストを目指して! EAメガ
美バストを目指して! EBメガ
美バストを目指して! ECマクロレーン
美バストを目指して! EDマクロレーン
美バストを目指して! EEスーパー
美バストを目指して! EFメガ+バッグ除去
美バストを目指して! EGMAX+バッグ除去

≪脂肪幹細胞注入(cell-assisted lipotransfer)による豊胸術≫の課題 



≪脂肪幹細胞注入豊胸術≫と≪乳腺インプラント取り出し≫の同時施術
『メガ脂注』 + 『バッグ取り出し』 の 同時施術
『MAX脂肪幹細胞注入豊胸』 + 『バッグ取り出し』  の同時施術@
『MAX脂肪幹細胞注入豊胸』 + 『バッグ取り出し』  の同時施術A
『MAX脂肪幹細胞注入豊胸』 + 『バッグ取り出し』  の同時施術B


≪メガ脂肪幹細胞注入による豊胸術 + 乳腺インプラント除去 の同時施術 K−1 ≫の経時的変化
≪メガ脂肪幹細胞注入による豊胸術 + 乳腺インプラント除去 の同時施術 K−2 ≫の経時的変化
≪メガ脂肪幹細胞注入による豊胸術 + 乳腺インプラント除去 の同時施術 K−3 ≫の経時的変化
≪メガ脂肪幹細胞注入による豊胸術 + 乳腺インプラント除去 の同時施術 K−4 ≫の経時的変化
≪メガ脂肪幹細胞注入による豊胸術 + 乳腺インプラント除去 の同時施術 K−5 ≫の経時的変化

≪美バスト!コラム≫
@≪結果がすべて!

A≪バストのデザイン!

B≪脂肪採取部のデザイン!

C≪麻酔―術中の痛みはご心配ありません!

≪バストタッチカウンセリング(新宿ANNEX院)≫
ANNEX院には、自ら希望し、私中村の≪メガ脂肪幹細胞注入豊胸術≫を受けてくれたスタッフが、4名おります
@
A


≪ヒアルロン酸(マクロレーン・ファイン)による豊胸術≫
豊胸術用NEWヒアルロン酸≪マクロレーンファイン≫による豊胸術
豊胸術用NEWヒアルロン酸≪マクロレーンファイン≫による豊胸術 A上側のハリ
豊胸術用NEWヒアルロン酸≪マクロレーンファイン≫による豊胸術 B全体フンワリ
豊胸術用NEWヒアルロン酸≪マクロレーンファイン≫による豊胸術 C
豊胸術用NEWヒアルロン酸≪マクロレーンファイン≫による豊胸術 D
豊胸術用NEWヒアルロン酸≪マクロレーンファイン≫による豊胸術 E
豊胸術用NEWヒアルロン酸≪マクロレーンファイン≫による豊胸術 F
豊胸術用NEWヒアルロン酸≪マクロレーンファイン≫による豊胸術 G
豊胸術用NEWヒアルロン酸≪マクロレーンファイン≫による豊胸術 H

≪メタボリック根こそぎ脂肪吸引≫(お腹周り)
美ウエストラインを目指して! @(男性)
美ウエストラインを目指して! A(男性)
美ウエストラインを目指して! B(男性)
美ウエストラインを目指して! C(男性)
美ウエストラインを目指して! D(女性)
美ウエストラインを目指して! E(女性)
美ウエストラインを目指して! F(女性)
美ウエストラインを目指して! G(女性)
美ウエストラインを目指して! H(女性)
美ウエストラインを目指して! I(女性)
美ウエストラインを目指して! @@(女性)
美ウエストラインを目指して! @A(女性)
美ウエストラインを目指して! @B(女性)
美ウエストラインを目指して! @C(女性)豊胸術との同時施術
美ウエストラインを目指して! @D(女性)
美ウエストラインを目指して! @E(男性)
美ウエストラインを目指して! @F(男性)

≪メタボリック根こそぎ脂肪吸引≫(太もも・お尻・膝)
美脚を目指して! @
美脚を目指して! A
美脚を目指して! B
美脚を目指して! C
美脚を目指して! D
美脚を目指して! E
美脚を目指して! F
美脚を目指して! G
美脚を目指して! H
美脚を目指して! I
美脚を目指して! J−1
美脚を目指して! J−2
美脚を目指して! K
美脚を目指して! L−1
美脚を目指して! L−3
美脚を目指して! M
美脚を目指して! O
美脚を目指して! P
美脚を目指して! Q
美脚を目指して! R
美脚を目指して! S

≪メタボリック根こそぎ脂肪吸引≫(下腿・足首)
美脚を目指して! N


≪メタボリック根こそぎ脂肪吸引≫(二の腕・肩)
美肩ラインを目指して!@
美肩ラインを目指して!A
美肩ラインを目指して!B
美肩ラインを目指して!C
美肩ラインを目指して!D
美肩ラインを目指して!E
美肩ラインを目指して!F

≪メタボリック根こそぎ脂肪吸引≫(フェイスライン)
@
A


≪自毛植毛術≫
≪自毛植毛≫ の経時的変化
≪自毛植毛≫ のカサブタ(術後2週)
素敵なヘアー・スタイリングを目指して! @−1 ≪高密度ハンドメイド法(1000本)≫
素敵なヘアー・スタイリングを目指して! @−2 ≪高密度ハンドメイド法(1000本)≫

≪若返り施術≫
≪アクトレス・リフト≫ の経時的変化
ご自分の脂肪で、若返り! @ ≪トランス法(ほうれい線)≫
ご自分の脂肪で、若返り! A ≪トランス法(ほうれい線)≫
ご自分の脂肪で、若返り! B ≪トランス法(目の下)≫
ご自分の脂肪で、若返り! C ≪トランス法(ほうれい線)≫
ご自分の脂肪で、若返り! D ≪トランス法(目の下)≫
ご自分の脂肪で、若返り! E ≪トランス法(ほうれい線)≫
ご自分の脂肪で、若返り! F ≪トランス法(ゴルゴライン)≫
ご自分の脂肪で、若返り! G−1 ≪トランス法(ほうれい腺)≫
ご自分の脂肪で、若返り! G−2 ≪トランス法(ほうれい線)≫
ご自分の脂肪で、若返り! H ≪トランス法(ほうれい線)≫
ご自分の脂肪で、若返り! I ≪トランス法(ほうれい線)≫
ご自分の脂肪で、若返り! J ≪トランス法(ほうれい線)≫

≪ヒアルロン酸(ラディエッセ)注入≫
@≪アゴ≫
A≪鼻筋≫

≪二重術≫
≪二重術  2daysクイック法≫の経時的変化
≪二重術  2daysクイック法≫の経時的変化 A 
≪二重術  2daysクイック法≫の経時的変化 B 
≪二重術  2daysクイック法≫の経時的変化 C 
≪目頭切開術≫の経時的変化 @ 

美瞳を目指して! @  2days
美瞳を目指して! A-1 2days
美瞳を目指して! A-2 2days
美瞳を目指して! B-1 2days
美瞳を目指して! B-2 2days
美瞳を目指して! C-1 2days
美瞳を目指して! C-2 2days
美瞳を目指して! D-1 目頭切開法
美瞳を目指して! D-2 目頭切開法
美瞳を目指して! E-1 目頭切開法・2days
美瞳を目指して! E-2 目頭切開法・2days
美瞳を目指して! F-1 2days
美瞳を目指して! F-2 2days
美瞳を目指して! G-1 2days
美瞳を目指して! G-2 2days
美瞳を目指して! H-1 2days
美瞳を目指して! H-2 2days
美瞳を目指して! I-1 2days 自然な奥二重 ご希望
美瞳を目指して! I-2 2days 自然な奥二重 ご希望
美瞳を目指して! J-1 2days 自然な奥二重 ご希望
美瞳を目指して! J-2 2days 自然な奥二重 ご希望
美瞳を目指して! K-1 2days ハッキリ平行型ライン ご希望
美瞳を目指して! K-2 2days ハッキリ平行型ライン ご希望
美瞳を目指して! L-1 2days 重くなった瞼をスッキリ ご希望
美瞳を目指して! L-2 2days 重くなった瞼をスッキリ ご希望
美瞳を目指して! M-1 2days 一重をくっきり二重に! ご希望
美瞳を目指して! M-2 2days 一重をくっきり二重に! ご希望
美瞳を目指して! N-1 2days アイプチより埋没法!
美瞳を目指して! N-2 2days アイプチより埋没法!
美瞳を目指して! O  2days 一重を平行型二重に!
美瞳を目指して! P-1 2days 一重を末広型に!
美瞳を目指して! P-2 2days 一重を末広型に!
美瞳を目指して! Q  2days 片目だけが一重で・・・両目とも二重にしたい!
美瞳を目指して! R  2days アイラインが映える、かなり広いラインにしたい!
美瞳を目指して! S  2days ダウンタイムを気にされてる方へ!(末広型)
美瞳を目指して! A@  2days ハッキリ末広型に!
美瞳を目指して! AA  2days 男性の自然なライン
美瞳を目指して! AB  2days パッチリ広めの末広型に!
美瞳を目指して! AC  2days 一重をパッチリ平行型に!
美瞳を目指して! AD  2days ダウンタイムを気にされてる方へ!
美瞳を目指して! AE  2days ダウンタイムを気にされてる方へ!
美瞳を目指して! AF  2days ダウンタイムを気にされてる方へ!
美瞳を目指して! AG  2days ダウンタイムを気にされてる方へ!
美瞳を目指して! AH  2days ダウンタイムを気にされてる方へ!
美瞳を目指して! B◎  2days 奥二重を自然な末広型へ!
美瞳を目指して! B@-1 2days ラインを1mm広げる!
美瞳を目指して! B@-2 2days ラインを1mm広げる!
美瞳を目指して! BA  2days 目頭切開法
美瞳を目指して! BB  2days ダウンタイムを気にされてる方へ!


≪麻酔≫
硬膜外麻酔の体勢


≪その他≫
私中村の心得@
私中村の心得A