| 新宿本院院長 (大阪梅田院) 中村にお任せ下さい! ☆☆美瞳を目指して! No.757 ≪クイークコスメティーク法≫ ☆☆末広型を平行型に!!術直後☆ |
2015年08月12日 |
|
美瞳を目指して!
新宿本院にて、日々美容医療に熱く!取り組ませていただいております。
新宿本院院長 中村
二重術フォトギャラリー症例数 ダントツトップ☆
10100枚突破☆☆リアルをお伝えします!!
2010年度、顧客満足獲得票、2位のDr.に倍の差をつけて、中村が湘南美容外科全ドクターの中でダントツNo.1!(本部調べ)2011・2012年は僅差で2位(4票差)2010〜2012年総獲得票ダントツNo.1!2013年もトップを目指します
僕には美容医療を通じて、悩みを持った方のコンプレックスを解消し、もっと良くなりたい!という方のお手伝いをすることにより、世の中を良くしていくという使命があります
美瞳は、新宿本院院長 中村にお任せください!
本日のモニター様写真は、20代後半女性です。
『末広型を平行型に広げたい!直後からバレたくない!!』
とのご相談をいただき、
新宿本院院長、私中村施術にて、≪クイークコスメティーク法≫
を受けていただきました。
クイークコスメティーク法は、術後の腫れ・内出血を最小限に抑えることが可能です^^
クイークコスメティーク法は、直後からお化粧できるのが最大のメリットです。当日から職場やご家族に知られたくない方にお勧めです
また今まで問題となっていた糸の結び目が外からはわかりません!!
とても綺麗な瞳が、この方の自信につながり、より良い人生を過ごしていただければ、僕はとても嬉しいです^^
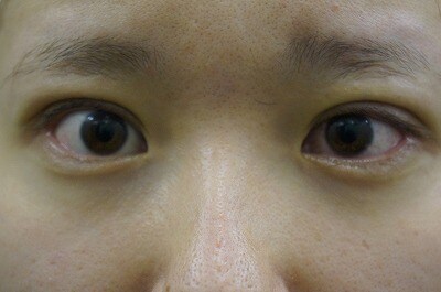
1、術前・・・末広型を平行型に!直後からバレたくない!!ずっと考えていたことを、私中村に相談し、行動に移されました。
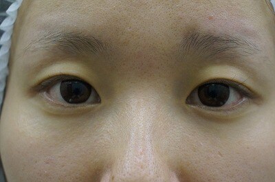
2、術直後30秒・・・とても素敵な瞳です^^クイークコスメティーク法は直後からお化粧ができるのが最大のメリットです☆お化粧をすれば、今日受けたとは、わかりません!!お手軽な方法でラインがスッキリしたことにご満足いただけました!とても綺麗な瞳が、この方の自信につながり、より良い人生を過ごしていただければ、僕はとても嬉しいです^^
3、術前
4、術直後30秒
5、術前
6、術直後30秒
切開法・埋没法二重術・目頭切開法は、一見単純な処置のようですが、0.5mm単位で印象が変わってくる、とても繊細で奥深い処置です。
出来る限りご希望のラインにさせていただくべく、私中村も気合いを入れて、カウンセリングに臨ませていただきます。
カウンセリング・デザインはお時間をかけて丁寧にしっかりと行わせていただき、
施術は痛みを完全にとった上で繊細に丁寧にかつ、瞼の負担を最小限にすべく無駄な動きなくスピーディーに行わせていただきます。
私中村にご希望のラインをお伝えいただければ、思い通りのラインにさせていただきます!
美瞳は、私中村にお任せ下さいませ!
新宿本院院長 中村大輔
中村のSBC美容ブログ 症例写真まとめ







|
|