| 新宿本院院長 中村にお任せ下さい! ☆☆美瞳を目指して! No.734 ≪クイークコスメティーク法≫ ☆☆被さってきたラインを広げる!!術前〜術直後〜術後1ヶ月☆ |
2015年06月14日 |
|
 美BODYを目指して!
新宿・大阪梅田にて、日々美容医療に熱く!取り組ませていただいております。
脂肪吸引
新宿院院長 中村
フォトギャラリー症例数 ダントツトップ☆
9800枚突破☆☆リアルをお伝えします!!
2010年度、顧客満足獲得票、2位のDr.に倍の差をつけて、中村が湘南美容外科全ドクターの中でダントツNo.1!(本部調べ)2011・2012年は僅差で2位、2010〜2012年総獲得票ダントツトップ☆ 2013年トップを目指します☆
僕には美容医療を通じて、悩みを持った方のコンプレックスを解消し、もっと良くなりたい!という方のお手伝いをすることにより、世の中を良くしていくという使命があります☆
美瞳は、新宿院院長 中村にお任せください!
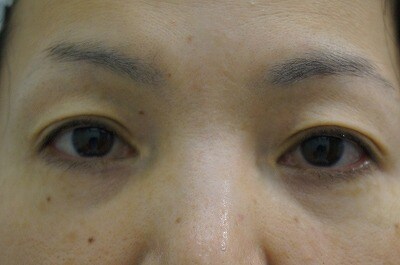
本日のモニター様写真は、40代半ば女性です。
『被さってきたラインを広げたい!』
とのご相談をいただき、
新宿院院長、私中村施術にて、≪クイークコスメティーク法≫
を受けていただきました。
クイークコスメティーク法は、術後の腫れ・内出血を最小限に抑えることが可能です^^手術直後からお化粧ができることが、最大のメリットです
とても綺麗な瞳が、この方の自信につながり、より良い人生を過ごしていただければ、僕はとても嬉しいです^^
1、術前・・・被さってきたラインを広げたい!!ずっと考えていたことを、私中村に相談し、行動に移されました。
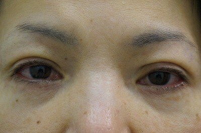
2、術直後・・・術翌日には、腫れがほぼ落ち着き、1ヶ月にかけてより自然なラインに馴染んでまいります。術直後からお化粧が可能です☆
3、術後1ヶ月・・・とても素敵な瞳です。とても綺麗な瞳が、この方の自信につながり、より良い人生を過ごしていただければ、僕はとても嬉しいです^^
4、術前
5、術直後
6、術後1ヶ月
7、術前
8、術直後
9、術後1ヶ月
埋没法二重術・目頭切開法は、一見単純な処置のようですが、0.5mm単位で印象が変わってくる、とても繊細で奥深い処置です。
出来る限りご希望のラインにさせていただくべく、私中村も気合いを入れて、カウンセリングに臨ませていただきます。
カウンセリング・デザインはお時間をかけて丁寧にしっかりと行わせていただき、
施術は痛みを完全にとった上で繊細に丁寧にかつ、瞼の負担を最小限にすべく無駄な動きなくスピーディーに行わせていただきます。
私中村にご希望のラインをお伝えいただければ、思い通りのラインにさせていただきます!
≪クイークコスメティーク法・24Hクイック法・全切開法・目頭切開術≫は、私中村に、お任せ下さいませ!
新宿本院院長 中村大輔
中村のSBC美容ブログ 症例写真まとめ







|
|