| 新宿本院院長(大阪梅田院) 中村にお任せください! ☆☆目の下の切らないタルミとり(プレミアム) No.30☆☆ |
2015年04月27日 |
|
新宿本院院長 中村
フォトギャラリー症例数 ダントツトップ!
9700枚突破☆☆リアルをお伝えします!!
2010年度、顧客満足獲得票、2位のDr.に倍の差をつけて、中村が湘南美容外科内ダントツNo.1!(本部調べ)2011・2012年は僅差で2位 (4票差)2010〜2012年総獲得票ダントツNo.1! 2013年もトップを目指します☆
アンチエイジングは、新宿本院院長 中村にお任せください。
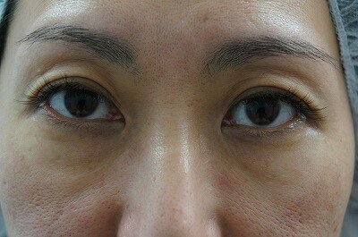
写真は40歳代後半女性です。
私中村に、
『目の下のクマが気になる、、、お化粧で隠せない、、、』
とのご相談をいただき、
私中村担当にて、≪切らない目の下のタルミとり(プレミアム)≫の施術を、受けていただきました。
最初からダウンタイムも少なく、術後2週間である程度完成、術後2ヶ月では完全に馴染んでいる状態です。
切らない方法で傷あとは残りません切らない方法の中では、最大の結果を見込める方法です☆
1、術前・・・目の下のクマが気になる、、、お化粧で隠せない、、、とのご相談をいただきました。
2、術後1か月・・・腫れ・内出血は1週間がピークで、2週間で収まります。術翌日よりお化粧は可能です。目の下の若干の膨らみは、2ヶ月にかけて徐々に馴染みます
3、術前
4、術後1か月
5、術前
6、術後1か月
目の下・ほうれい線・ゴルゴラインでお悩みの方は、私中村にご相談くださいませ!
それぞれの若返りの施術を詳しくご説明させていただき、最小限のご負担で最大限の効果を出せる方法を、ご提案させていただきます。
新宿院院長 中村大輔
中村のSBC美容ブログ 症例写真まとめ







|
|