| 池袋院院長(大阪梅田院・神戸院・柏院) 中村にお任せください! ☆☆目の下の切らないタルミとり(プレミアム) No.29☆☆ |
2014年10月17日 |
|
池袋院院長 中村
フォトギャラリー症例数 ダントツトップ!
8700枚突破☆☆リアルをお伝えします!!
2010年度、顧客満足獲得票、2位のDr.に倍の差をつけて、中村が湘南美容外科内ダントツNo.1!(本部調べ)2011・2012年は僅差で2位 (4票差)2010〜2012年総獲得票ダントツNo.1! 2013年もトップを目指します☆
アンチエイジングは、池袋院院長 中村にお任せください。
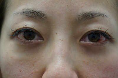
写真は30歳代前半女性です。
私中村に、
『目の下のクマが気になる、、、お化粧で隠せない、、、』
とのご相談をいただき、
私中村担当にて、≪切らない目の下のタルミとり(プレミアム)≫の施術を、受けていただきました。
最初からダウンタイムも少なく、術後2週間である程度完成、術後2ヶ月では完全に馴染んでいる状態です。
切らない方法で傷あとは残りません切らない方法の中では、最大の結果を見込める方法です☆
1、術前・・・目の下のクマが気になる、、、お化粧で隠せない、、、とのご相談をいただきました。
2、術後2週・・・腫れ・内出血がほぼ収まる時期です。目の下の若干の膨らみは、2ヶ月にかけて徐々に馴染みます☆
3、術後2ヶ月・・・目の下のクマは目立ちにくくなりました!この方の自信につながり、よりよい人生をお送りいただければ、僕は嬉しいです^^
4、術前
5、術後2週
6、術後2ヶ月
7、術前
8、術後2週
9、術後2ヶ月
目の下・ほうれい線・ゴルゴラインでお悩みの方は、私中村にご相談くださいませ!
それぞれの若返りの施術を詳しくご説明させていただき、最小限のご負担で最大限の効果を出せる方法を、ご提案させていただきます。
池袋院院長 中村大輔
中村のSBC美容ブログ 症例写真まとめ








|
|