| 池袋院院長 (大阪梅田院・神戸院・柏院) 中村にお任せ下さい! ☆☆美瞳を目指して! No.634 ≪クイークコスメティーク法 + デカ目タッキング≫ ☆☆目力をアップしながらボンヤリラインをはっきりしたい!アイプチはもうこりごり!術前〜術直後〜術後1週間 |
2014年10月03日 |
|
美瞳 を目指して!
池袋・大阪・神戸・柏にて、日々美容医療に熱く!取り組ませていただいております。
池袋院院長 中村
二重術フォトギャラリー症例数 ダントツトップ☆
8600枚突破☆☆リアルをお伝えします!!
2010年度、顧客満足獲得票、2位のDr.に倍の差をつけて、中村が湘南美容外科全ドクターの中でダントツNo.1!(本部調べ)2011・2012年は僅差で2位、2010〜2012年総獲得票ダントツNo.1! 2013年トップを目指します☆
僕には美容医療を通じて、悩みを持った方のコンプレックスを解消し、もっと良くなりたい!という方のお手伝いをすることにより、世の中を良くしていくという使命があります☆
美瞳は、池袋院院長 中村にお任せください!
本日のモニター様写真は、20代後半女性です。
『目力をアップしながら、ボンヤリラインをはっきりしたい!アイプチは皮膚がただれてもうこりごり!』
とのご相談をいただき、
池袋院院長、私中村施術にて、≪クイークコスメティーク法 + デカ目タッキング≫
を受けていただきました。
クイークコスメティーク法は、術後の腫れ・内出血を最小限に抑えることが可能です^^手術直後からお化粧ができることが、最大のメリットです☆
デカ目タッキングを加えることにより、広い平行型にありがちな眠い瞼になることを防げます!
とても綺麗な瞳が、この方の自信につながり、より良い人生を過ごしていただければ、僕はとても嬉しいです^^
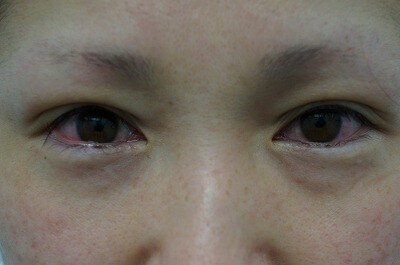
1、術前・・・目力をアップしながら、ボンヤリラインをはっきりしたい!アイプチは皮膚がただれてもうこりごり!ずっと考えていたことを、私中村に相談し、行動に移されました。
2、術直後・・・翌後3日には、腫れがほぼ落ち着き、より自然なラインに馴染んでまいります。術直後からお化粧が可能です☆
3、術後1週間・・・とても綺麗な瞳です!目力をアップしながら自然な二重ラインの完成です☆ご満足いただけました。ご自身の瞳に自信をもって、より良い人生をお過ごしいただければ僕も嬉しいです^^
4、術前
5、術直後
6、術後1週間
7、術前
8、術直後
9、術後1週間
埋没法二重術・目頭切開法は、一見単純な処置のようですが、0.5mm単位で印象が変わってくる、とても繊細で奥深い処置です。
出来る限りご希望のラインにさせていただくべく、私中村も気合いを入れて、カウンセリングに臨ませていただきます。
カウンセリング・デザインはお時間をかけて丁寧にしっかりと行わせていただき、
施術は痛みを完全にとった上で繊細に丁寧にかつ、瞼の負担を最小限にすべく無駄な動きなくスピーディーに行わせていただきます。
私中村にご希望のラインをお伝えいただければ、思い通りのラインにさせていただきます!
≪クイークコスメティーク法・24Hクイック法・SBCデカ目術・全切開法・目頭切開術≫は、私中村に、お任せ下さいませ!
池袋院院長 中村大輔
中村のSBC美容ブログ バックナンバー


 【Dr中村プロフィール】【Dr中村フォトギャラリー】 【Dr中村お客様の声】【Dr中村無料メール相談】【Dr中村ブログ】
|
|