| 池袋院院長 (新宿院・大阪梅田院) 中村にお任せ下さい! ☆☆美瞳を目指して! No.368 ≪眉下切開法≫ ☆☆重くなった瞼を、軽くスッキリと!! |
2012年10月02日 |
|
美瞳 を目指して!
池袋・新宿・大阪にて、日々美容医療に熱く!取り組ませていただいております。
池袋院院長 中村
二重術フォトギャラリー症例数 ダントツトップ☆
5200枚突破☆☆リアルをお伝えします!!
2010年度、顧客満足獲得票、2位のDr.に倍の差をつけて、中村が湘南美容外科内ダントツNo.1!(本部調べ)2012年もトップを目指します☆
僕には美容医療を通じて、悩みを持った方のコンプレックスを解消し、もっと良くなりたい!という方のお手伝いをすることにより、世の中を良くしていくという使命があります☆
美瞳は、池袋院院長 中村にお任せください!
本日のモニター様写真は、40代前半女性です。
『重くなった瞼を、軽くスッキリしたい!』
とのご相談をいただき、
池袋院院長、私中村施術にて、≪眉下切開法≫
を受けていただきました。
眉下切開法は、全切開によるタルミトリより、腫れ・内出血などのダウンタイムが少なく、より自然な二重ラインになります☆
デメリットは、眉の下側にうっすら傷跡が残りますが、お化粧では隠せます。
とても綺麗な瞳が、この方の自信につながり、より良い人生を過ごしていただければ、僕はとても嬉しいです^^
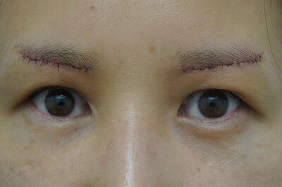
1、術前・・・重くなった瞼を、軽くスッキリしたい!!ずっと考えていたことを、私中村に相談し、行動に移されました。
2、術直後・・・自然な感じを残したまま、瞼の重みをとることが可能です。腫れ・内出血は最小限です☆
3、術後5日・・・抜糸直前のお写真です。抜糸翌日よりお化粧が可能で、ほぼ傷を目立ちにくく隠せます。
4、術後1ヶ月・・・お化粧越しに、うっすら傷はまだわかりますが、3ヶ月〜6ヶ月〜1年と、まだまだ馴染みます☆とても綺麗な瞳が、この方の自信につながり、より良い人生を過ごしていただければ、僕はとても嬉しいです^^
5、術前・・・重くなった瞼を、軽くスッキリしたい!!ずっと考えていたことを、私中村に相談し、行動に移されました。
6、術直後・・・自然な感じを残したまま、瞼の重みをとることが可能です。腫れ・内出血は最小限です☆
7、術後5日・・・抜糸直前のお写真です。抜糸翌日よりお化粧が可能で、ほぼ傷を目立ちにくく隠せます。
8、術後1ヶ月・・・お化粧越しに、うっすら傷はまだわかりますが、3ヶ月〜6ヶ月〜1年と、まだまだ馴染みます☆とても綺麗な瞳が、この方の自信につながり、より良い人生を過ごしていただければ、僕はとても嬉しいです^^
9、術前・・・重くなった瞼を、軽くスッキリしたい!!ずっと考えていたことを、私中村に相談し、行動に移されました。
10、術直後・・・自然な感じを残したまま、瞼の重みをとることが可能です。腫れ・内出血は最小限です☆
11、術後5日・・・抜糸直前のお写真です。抜糸翌日よりお化粧が可能で、ほぼ傷を目立ちにくく隠せます。
12、術後1ヶ月・・・お化粧越しに、うっすら傷はまだわかりますが、3ヶ月〜6ヶ月〜1年と、まだまだ馴染みます☆とても綺麗な瞳が、この方の自信につながり、より良い人生を過ごしていただければ、僕はとても嬉しいです^^
埋没法二重術・目頭切開法・眉下切開法は、一見単純な処置のようですが、0.5mm単位で印象が変わってくる、とても繊細で奥深い処置です。
出来る限りご希望のラインにさせていただくべく、私中村も気合いを入れて、カウンセリングに臨ませていただきます。
カウンセリング・デザインはお時間をかけて丁寧にしっかりと行わせていただき、
施術は痛みを完全にとった上で繊細に丁寧にかつ、瞼の負担を最小限にすべく無駄な動きなくスピーディーに行わせていただきます。
私中村にご希望のラインをお伝えいただければ、思い通りのラインにさせていただきます!
≪全切開二重術・眉下切開法・24Hクイック法・目頭切開術≫は、私中村に、お任せ下さいませ!
池袋院院長 中村大輔
中村のSBC美容ブログ バックナンバー@ ≪美バスト≫
中村のSBC美容ブログ バックナンバーA ≪美BODY≫
中村のSBC美容ブログ バックナンバーB ≪アンチエイジング・フェイスライン≫ 中村のSBC美容ブログ バックナンバーC ≪美瞳≫
【Dr中村プロフィール】【Dr中村フォトギャラリー】【Dr中村お客様の声】
【Dr中村無料メール相談】【Dr中村モニター募集一覧】【Dr中村ブログ】



|
|