| 池袋院院長 (新宿院・大阪梅田院) 中村にお任せ下さい! 症例数&ご満足度 No1☆☆美瞳を目指して! No.325 ≪MCM&ヒアルロン酸による涙袋形成≫ ☆☆目元をセクシーに!! |
2012年06月02日 |
|
美瞳 を目指して!
池袋・新宿・大阪にて、日々美容医療に熱く!取り組ませていただいております。
池袋院院長 中村
二重術フォトギャラリー症例数 ダントツトップ☆
4600枚突破☆☆リアルをお伝えします!!
2010年度、顧客満足獲得票、2位のDr.に倍の差をつけて、中村が湘南美容外科内ダントツNo.1!(本部調べ)2012年もトップを目指します☆
僕には美容医療を通じて、悩みを持った方のコンプレックスを解消し、もっと良くなりたい!という方のお手伝いをすることにより、世の中を良くしていくという使命があります☆
美瞳は、池袋院院長 中村にお任せください!
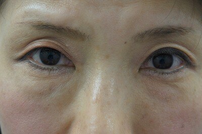
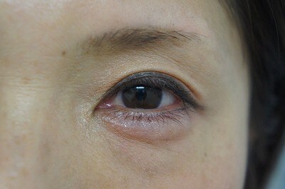
本日のモニター様写真は、40代後半の方です。
『目元をセクシーに見せたい!!』
とのご相談をいただき、
池袋院院長、私中村施術にて、≪MCM(マイクロカニューレ)を用いたヒアルロン酸による涙袋形成≫
を受けていただきました。
MCM(マイクロカニューレ)は、先が鈍の最新の針です。これを用いることにより、均一に美しく調整が可能で、処置中の痛み、処置後の腫れ・内出血を最小限にすることが可能です。
とても綺麗な瞳が、この方の自信につながり、より良い人生を過ごしていただければ、僕はとても嬉しいです^^
1、術前・・・目元をセクシーに見せたい!!ずっと考えていたことを、私中村に相談し、行動に移されました。
2、術直後・・・とてもご満足いただけました!処置中の痛みもほとんどなく、腫れ・内出血は最小限です☆とても綺麗な瞳が、この方の自信につながり、より良い人生を過ごしていただければ、僕はとても嬉しいです^^
3、術前
4、術直後
5、術前
6、術直後
涙袋は、一見単純な処置のようですが、0.1ccの注入量の違いでで印象が変わってくる、とても繊細で奥深い処置です。
出来る限りご希望の形にさせていただくべく、私中村も気合いを入れて、カウンセリングに臨ませていただきます。
カウンセリング・デザインはお時間をかけて丁寧にしっかりと行わせていただき、
施術は痛みを最小限にした上で繊細に丁寧にかつ、腫れ・内出血を最小限にすべく無駄な動きなくスピーディーに行わせていただきます。
私中村にご希望の形をお伝えいただければ、思い通りの形にさせていただきます!
≪MCM&ヒアルロン酸による涙袋形成≫は、私中村に、お任せ下さいませ!
池袋院院長 中村大輔
中村のSBC美容ブログ バックナンバー@ ≪美バスト≫
中村のSBC美容ブログ バックナンバーA ≪美BODY≫
中村のSBC美容ブログ バックナンバーB ≪アンチエイジング・フェイスライン≫ 中村のSBC美容ブログ バックナンバーC ≪美瞳≫
【Dr中村プロフィール】【Dr中村フォトギャラリー】【Dr中村お客様の声】
【Dr中村無料メール相談】【Dr中村モニター募集一覧】【Dr中村ブログ】



|
|