Dr.BLOG

中村ドクターブログ
記事一覧
2012年04月01日画像あり池袋院院長 (新宿院・大阪梅田院) 中村にお任せ下さい! ☆☆美バストを目指して! No.310  ≪リッチバスト脂肪幹細胞注入法≫☆☆
2012年03月31日画像あり池袋院院長 (新宿院・大阪梅田院) 中村にお任せ下さい!美BODY脂肪吸引 No.262 ☆☆美脚ラインを目指して! ≪根こそぎボディジェット脂肪吸引(太もも・お尻・ひざ) No112≫☆☆
2012年03月30日画像あり池袋院院長 中村にお任せ下さい! 美BODY脂肪吸引 No.261 ☆☆美ウエストラインを目指して!   ≪根こそぎボディジェット脂肪吸引(お腹周り)No.93≫☆☆術前〜術後1ヶ月
2012年03月29日画像あり池袋院院長 (新宿院・大阪梅田院) 中村にお任せ下さい! 症例数&ご満足度 No1☆☆美瞳を目指して! No.301 ≪24Hクイック法(両眼3点)≫ ☆☆末広型を平行型ラインに!!
2012年03月28日画像あり池袋院院長 (新宿院・大阪梅田院) 中村にお任せ下さい! ☆☆美バストを目指して! No.309  ≪リッチバスト脂肪幹細胞注入法≫☆☆
2012年03月27日画像あり池袋院院長 (新宿院・大阪梅田院) 中村にお任せ下さい! ☆☆美瞳を目指して! No.300 ≪24Hクイック二重術(両眼3点)≫ ☆☆一重を平行型に!!術前〜術直後〜術後1ヶ月☆
2012年03月26日画像あり池袋院院長 中村にお任せください! ☆☆目の下の切らないタルミとり(プレミアム) No.17☆☆
2012年03月25日画像あり池袋院院長 (新宿院・大阪梅田院) 中村にお任せ下さい! ☆☆美瞳を目指して! No.299 ≪クイークコスメティーク法≫ ☆☆ラインをクッキリさせたい!!術直後☆
2012年03月24日画像あり池袋院院長 (新宿院・大阪梅田院) 中村にお任せ下さい! ☆☆美バストを目指して! No.308  ≪シリコンバッグ取り出し + リッチバスト脂肪幹細胞注入法≫☆☆
2012年03月23日画像あり池袋院院長 (新宿院・大阪梅田院) 中村にお任せ下さい!美BODY脂肪吸引 No.260 ☆☆美脚ラインを目指して! ≪根こそぎボディジェット脂肪吸引(太もも・お尻・ひざ) No111≫☆☆
[ ←前 ] [ 次→ ]
 
池袋院院長 中村にお任せください! ☆☆目の下の切らないタルミとり(プレミアム) No.17☆☆ 2012年03月26日



池袋院院長 中村

フォトギャラリー症例数 ダントツトップ!

4300枚突破☆☆リアルをお伝えします!!

2010年度、顧客満足獲得票、2位のDr.に倍の差をつけて、中村が湘南美容外科内ダントツNo.1!(本部調べ)2011年もトップを目指します☆


アンチエイジングは、池袋院院長 中村にお任せください。



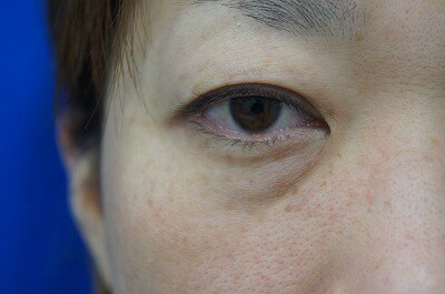
写真は40歳代前半女性です。

私中村に、

『目の下のクマが気になる、、、お化粧で隠せない、、、』

とのご相談をいただき、


私中村担当にて、≪切らない目の下のタルミとり(プレミアム)≫の施術を、受けていただきました。


最初からダウンタイムも少なく、術後2週間である程度完成、術後2ヶ月では完全に馴染んでいる状態です。


切らない方法で傷あとは残りません切らない方法の中では、最大の結果を見込める方法です☆




1、術前・・・目の下のクマが気になる、、、お化粧で隠せない、、、とのご相談をいただきました。



2、術後1ヶ月・・・目の下のクマは目立ちにくくなりました!皮膚のゆとりが気になられる場合は、PRP血小板療法・CO2レーザー、もしくは皮膚切除といった段階・選択肢があります。この方の自信につながり、よりよい人生をお送りいただければ、僕は嬉しいです^^



3、術前



4、術後1ヶ月



5、術前



6、術後1ヶ月




目の下・ほうれい線・ゴルゴラインでお悩みの方は、私中村にご相談くださいませ!

それぞれの若返りの施術を詳しくご説明させていただき、最小限のご負担で最大限の効果を出せる方法を、ご提案させていただきます。





                  
池袋院院長 中村大輔





中村のSBC美容ブログ  バックナンバー@  ≪美バスト≫ 

中村のSBC美容ブログ  バックナンバーA  ≪美BODY≫

中村のSBC美容ブログ  バックナンバーB ≪アンチエイジング・フェイスライン≫
中村のSBC美容ブログ  バックナンバーC  ≪美瞳≫




【Dr中村プロフィール】【Dr中村フォトギャラリー】【Dr中村お客様の声】

【Dr中村無料メール相談】【Dr中村モニター募集一覧】【Dr中村ブログ】