| 池袋院院長 (新宿院・大阪梅田院) 中村にお任せ下さい! ☆☆美瞳を目指して! No.220 ≪デカ目術≫ ☆☆重い一重に悩んでて、、、目力アップしたい! |
2011年08月19日 |
|
美瞳 を目指して!
池袋・新宿・大阪にて、日々美容医療に熱く!取り組ませていただいております。
池袋院院長 中村
二重術フォトギャラリー症例数 ダントツトップ☆
3400枚突破☆☆リアルをお伝えします!!
美瞳24Hクイック法・デカ目術・目頭切開は、池袋院院長 中村にお任せください。
本日のモニター様写真は、30代前半女性です。
『重い一重瞼に悩んでて、、、目力をアップしたい!!』
とのご相談をいただき、
池袋院院長、私中村施術にて、≪デカ目術≫
を受けていただきました。
とても綺麗な瞳が、この方の自信につながり、より良い人生を過ごしていただければ、僕はとても嬉しいです^^
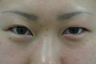
1、術前・・・重い一重瞼に悩んでて、、、目力をアップしたい!!とのご相談をいただきました。
2、術後1ヶ月・・・目力がグッとアップして、とても魅力的な瞳です☆ご満足いただけました!この方の自信につながり、より良い人生をお過ごしいただければ、僕は嬉しいです^^
3、術前
4、術後1ヶ月・・・とても素敵な瞳です☆ご満足いただけました!
5、術前
6、術後1ヶ月・・・とても素敵な瞳です☆ご満足いただけました!
デカ目術・埋没法二重術・目頭切開法は、一見単純な処置のようですが、0.5mm単位で印象が変わってくる、とても繊細で奥深い処置です。
出来る限りご希望のラインにさせていただくべく、私中村も気合いを入れて、カウンセリングに臨ませていただきます。
カウンセリング・デザインはお時間をかけて丁寧にしっかりと行わせていただき、
施術は痛みを完全にとった上で繊細に丁寧にかつ、瞼の負担を最小限にすべく無駄な動きなくスピーディーに行わせていただきます。
私中村にご希望のラインをお伝えいただければ、思い通りのラインにさせていただきます!
≪デカ目術・24Hクイック法・目頭切開術≫は、私中村に、お任せ下さいませ!
池袋院院長 中村大輔
中村のSBC美容ブログ バックナンバー@ ≪美バスト≫
中村のSBC美容ブログ バックナンバーA ≪美BODY≫
中村のSBC美容ブログ バックナンバーB ≪アンチエイジング・フェイスライン≫ 中村のSBC美容ブログ バックナンバーC ≪美瞳≫
【Dr中村プロフィール】【Dr中村フォトギャラリー】【Dr中村お客様の声】
【Dr中村無料メール相談】【Dr中村モニター募集一覧】【Dr中村ブログ】



|
|