Dr.BLOG

中村ドクターブログ
記事一覧
2011年08月16日画像あり池袋院院長 (新宿院・大阪梅田院) 中村にお任せ下さい! ☆☆ご自分の脂肪で若返り! No.93 ≪リッチフェイス法(こめかみ)≫☆☆
2011年08月15日画像あり池袋院院長 (新宿院・大阪梅田院) 中村にお任せ下さい! ☆☆美バストを目指して! No.244  ≪メガ(現ピュアグラフト)脂肪幹細胞注入法≫☆☆
2011年08月14日画像あり池袋院院長 (新宿院・大阪梅田院) 中村にお任せ下さい! ☆☆ご自分の脂肪で若返り! No.92 ≪リッチフェイス法(目の下)≫☆☆
2011年08月13日画像あり池袋院院長 (新宿院・大阪梅田院) 中村にお任せ下さい! ☆☆美バストを目指して! No.243  ≪リッチバスト脂肪幹細胞注入法≫☆☆
2011年08月12日画像あり池袋院院長 (新宿院・大阪梅田院) 中村にお任せ下さい! ☆☆美瞳を目指して! No.218 ≪24Hクイック法(両眼3点)≫ ☆☆奥二重を自然な平行型に!!術直後☆
2011年08月11日画像あり池袋院院長 (新宿院・大阪梅田院) 中村にお任せ下さい! ☆☆ご自分の脂肪で若返り! No.91 ≪リッチフェイス法(目の下)≫☆☆
2011年08月10日画像あり池袋院院長 (新宿院・大阪梅田院) 中村にお任せ下さい! ☆☆美バストを目指して! No.242  ≪リッチバスト脂肪幹細胞注入法≫☆☆
2011年08月09日画像あり池袋院院長 (新宿院・大阪梅田院) 中村にお任せ下さい! ☆☆美バストを目指して! No.241  ≪メガ(現ピュアグラフト)脂肪幹細胞注入法≫☆☆
2011年08月08日画像あり池袋院院長 (新宿院・大阪梅田院) 中村にお任せ下さい!美BODY脂肪吸引 No.225 ☆☆美脚ラインを目指して! ≪根こそぎボディジェット脂肪吸引(太もも・お尻・ひざ) No101≫☆☆
2011年08月07日画像あり池袋院院長 (新宿院・大阪梅田院) 中村にお任せ下さい! ☆☆美瞳を目指して! No.217 ≪目尻切開法≫ ☆☆目を目尻側に広げて大きく見せたい!!
[ ←前 ] [ 次→ ]
 
池袋院院長 (新宿院・大阪梅田院) 中村にお任せ下さい! ☆☆ご自分の脂肪で若返り! No.92 ≪リッチフェイス法(目の下)≫☆☆ 2011年08月14日



池袋院院長 中村

フォトギャラリー症例数 ダントツトップ!

リアルをお伝えします!!


アンチエイジングは、池袋院院長 中村にお任せください。







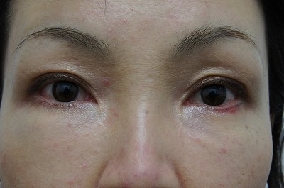
写真は40歳代半ば女性です。

私中村に、

『目の下の凹凸が気になる・・・』

とのご相談をいただき、


私中村担当にて、≪リッチフェイス法 目の下≫の施術を、受けていただきました。


目の下の凹凸が目立たなくなり、お悩み解消につながりました!

お顔により自信を持っていただき、より前向きなお気持ちに繋がり、より良い人生を送っていただければ嬉しいです☆


切らない方法で傷あとは残りませんし、ヒアルロン酸より勝る点は、効果が永続的ということです。




1、術前・・目の下の凹凸が気になる、、、とのご相談をいただきました。



2、術後2ヶ月・・・気にしていた目の下の凹凸が薄くなって悩みが解消した!と、喜んでいただけました☆おしわ・凹凸はゼロにはなりませんが、確実に薄く少なくできます。この方の自信につながり、より良い充実した人生をお送りいただければ、僕は嬉しいです^^



3、術前



4、術後2ヶ月



5、術前



6、術後2ヶ月






目の下・ほうれい線・口角・ゴルゴラインでお悩みの方は、私中村にご相談くださいませ!

それぞれの若返りの施術を詳しくご説明させていただき、最小限のご負担で最大限の効果を出せる方法を、ご提案させていただきます。



                  
池袋院院長 中村大輔





中村のSBC美容ブログ  バックナンバー@  ≪美バスト≫ 

中村のSBC美容ブログ  バックナンバーA  ≪美BODY≫

中村のSBC美容ブログ  バックナンバーB ≪アンチエイジング・フェイスライン≫
中村のSBC美容ブログ  バックナンバーC  ≪美瞳≫




【Dr中村プロフィール】【Dr中村フォトギャラリー】【Dr中村お客様の声】

【Dr中村無料メール相談】【Dr中村モニター募集一覧】【Dr中村ブログ】