Dr.BLOG

中村ドクターブログ
記事一覧
2011年07月27日画像あり池袋院院長 (新宿院・大阪梅田院) 中村にお任せ下さい! ☆☆美バストを目指して! No.238  ≪メガ(現ピュアグラフト)脂肪幹細胞注入法≫☆☆
2011年07月26日画像あり池袋院院長 (新宿院・大阪梅田院) 中村にお任せ下さい! ☆☆美バストを目指して! No.237  ≪シリコンバッグ取り出し + リッチバスト脂肪幹細胞注入法≫☆☆
2011年07月25日画像あり池袋院院長 中村にお任せ下さい! ☆☆美フェイスラインを目指して!! No.19 ≪ラディエッセ注入(鼻筋を高く)≫☆☆
2011年07月24日画像あり池袋院院長 (新宿院・大阪梅田院) 中村にお任せ下さい! ☆☆美瞳を目指して! No.212 ≪24Hクイック法(両眼2点)≫ ☆☆奥二重を自然な範囲で広げたい!!術直後☆
2011年07月23日画像あり池袋院院長 中村にお任せ下さい!美BODY脂肪吸引 No.222 ☆☆美肩ラインを目指して! ≪根こそぎボディジェット脂肪吸引(二の腕・肩・肩甲上) No.41≫☆☆
2011年07月22日画像あり池袋院院長 (新宿院・大阪梅田院) 中村にお任せ下さい! ☆☆美瞳を目指して! No.211 ≪24Hクイック法(両眼2点)≫ ☆☆目つきが悪いので、良くしたい!!
2011年07月21日画像あり池袋院院長 (新宿院・大阪梅田院) 中村にお任せ下さい! ☆☆美バストを目指して! No.236  ≪メガ(現ピュアグラフト)脂肪幹細胞注入法≫☆☆
2011年07月20日画像あり池袋院院長 中村にお任せください! ☆☆目の下の切らないタルミとり(プレミアム) No.11☆☆
2011年07月19日画像あり池袋院院長 (新宿院・大阪梅田院) 中村にお任せ下さい! ☆☆ご自分の脂肪で若返り! No.89 ≪リッチフェイス法(ほうれい線・ホホ)≫☆☆
2011年07月18日画像あり池袋院院長 (新宿院・大阪梅田院) 中村にお任せ下さい! ☆☆美瞳を目指して! No.210 ≪24Hクイック法(左眼4点)≫ ☆☆片方ずつ、まずは左側のラインを少し広げたい!!
[ ←前 ] [ 次→ ]
 
池袋院院長 中村にお任せください! ☆☆目の下の切らないタルミとり(プレミアム) No.11☆☆ 2011年07月20日


池袋院院長 中村

フォトギャラリー症例数 ダントツトップ!

リアルをお伝えします!!


アンチエイジングは、池袋院院長 中村にお任せください。



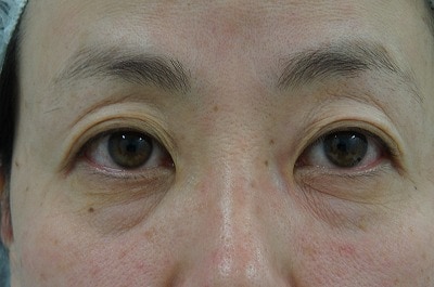
写真は40歳代後半女性です。

私中村に、

『目の下のクマが気になる・・・』

とのご相談をいただき、


私中村担当にて、≪切らない目の下のタルミとり(プレミアム)≫の施術を、受けていただきました。


最初からダウンタイムも少なく、術後2週間でほぼ完成、術後2ヶ月では完全に馴染んでいる状態です。


切らない方法で傷あとは残りませんし、ヒアルロン酸・トランス法より勝る点は、腫れ・内出血の可能性がより低いということです。




1、術前・・・目の下のクマが気になる、、、でも切る方法は抵抗がある!とのご相談をいただきました。



2、術後1ヶ月・・・目の下のクマは目立ちにくくなりました!皮膚のゆとりが気になられる場合は、PRP血小板療法・CO2レーザー、もしくは皮膚切除といった段階・選択肢があります。この方の自信につながり、よりよい人生をお送りいただければ、僕は嬉しいです^^



3、術前



4、術後1ヶ月



5、術前



6、術後1ヶ月




目の下・ほうれい線・ゴルゴラインでお悩みの方は、私中村にご相談くださいませ!

それぞれの若返りの施術を詳しくご説明させていただき、最小限のご負担で最大限の効果を出せる方法を、ご提案させていただきます。





                  
池袋院院長 中村大輔





中村のSBC美容ブログ  バックナンバー@  ≪美バスト≫ 

中村のSBC美容ブログ  バックナンバーA  ≪美BODY≫

中村のSBC美容ブログ  バックナンバーB ≪アンチエイジング・フェイスライン≫
中村のSBC美容ブログ  バックナンバーC  ≪美瞳≫




【Dr中村プロフィール】【Dr中村フォトギャラリー】【Dr中村お客様の声】

【Dr中村無料メール相談】【Dr中村モニター募集一覧】【Dr中村ブログ】