| 池袋院院長 (新宿院・大阪梅田院) 中村にお任せ下さい! ☆☆美瞳を目指して! No.204 ≪24Hクイック法(両眼3点)≫ ☆☆余った皮膚をスッキリさせて、綺麗な平行型に!!術直後☆ |
2011年06月25日 |
|
美瞳 を目指して!
池袋・新宿・大阪にて、日々美容医療に熱く!取り組ませていただいております。
池袋院院長 中村
二重術フォトギャラリー症例数 ダントツトップ☆
3200枚突破☆☆リアルをお伝えします!!
美瞳24Hクイック法は、池袋院院長 中村にお任せください。
本日のモニター様写真は、40代後半女性です。
『重くなった瞼をスッキリしたい!切るのはちょっと抵抗がある、、、お休みがなかなかとれないので、腫れ・内出血などのダウンタイムを最小限にしたい!』
とのご相談をいただき、
池袋院院長、私中村施術にて、≪24Hクイック法(両眼3点)≫
を受けていただきました。
24Hクイック法は、術後の腫れ・内出血を最小限に抑えることが可能です^^48時間お化粧できないというデメリットがありますが、もしもの時のライン変更・糸の調整が、瞼の負担を最小限にお手軽にできるという強みがあります!二重埋没法の中で最もお勧めできる方法です☆
とても綺麗な瞳が、この方の自信につながり、より良い人生を過ごしていただければ、僕はとても嬉しいです^^
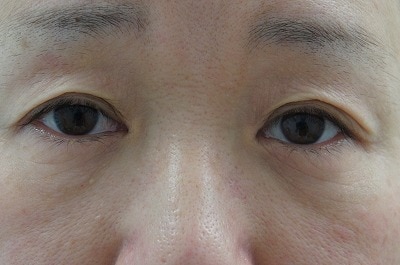
1、術前・・・たるんできた皮膚をスッキリして、綺麗な平行型二重にしたい!ずっと考えていたことを、私中村に相談し、行動に移されました。
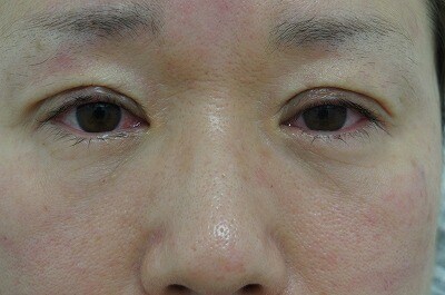
2、術直後・・・とても素敵な瞳です☆二重のラインがハッキリ出て、ご満足いただけました!2〜3日後には、腫れはお化粧で隠せます。埋没法の中では、最も安全な方法です☆とても綺麗な瞳が、この方の自信につながり、より良い人生を過ごしていただければ、僕はとても嬉しいです^^
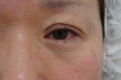
3、術前
4、術直後・・・とても素敵な瞳です☆ご満足いただけました!
5、術前
6、術直後・・・とても素敵な瞳です☆ご満足いただけました!
埋没法二重術・目頭切開法は、一見単純な処置のようですが、0.5mm単位で印象が変わってくる、とても繊細で奥深い処置です。
出来る限りご希望のラインにさせていただくべく、私中村も気合いを入れて、カウンセリングに臨ませていただきます。
カウンセリング・デザインはお時間をかけて丁寧にしっかりと行わせていただき、
施術は痛みを完全にとった上で繊細に丁寧にかつ、瞼の負担を最小限にすべく無駄な動きなくスピーディーに行わせていただきます。
私中村にご希望のラインをお伝えいただければ、思い通りのラインにさせていただきます!
≪24Hクイック法・目頭切開術≫は、私中村に、お任せ下さいませ!
池袋院院長 中村大輔
中村のSBC美容ブログ バックナンバー@ ≪美バスト≫
中村のSBC美容ブログ バックナンバーA ≪美BODY≫
中村のSBC美容ブログ バックナンバーB ≪アンチエイジング・フェイスライン≫ 中村のSBC美容ブログ バックナンバーC ≪美瞳≫
【Dr中村プロフィール】【Dr中村フォトギャラリー】【Dr中村お客様の声】
【Dr中村無料メール相談】【Dr中村モニター募集一覧】【Dr中村ブログ】



|
|