Dr.BLOG

中村ドクターブログ
記事一覧
2011年06月17日画像あり池袋院院長 (新宿院・大阪梅田院) 中村にお任せ下さい! ☆☆美瞳を目指して! No.200 ≪24Hクイック法(両眼3点)≫ ☆☆一重瞼を、最小限のダウンタイムで、綺麗な平行型に!!
2011年06月16日画像あり池袋院院長 (新宿院・大阪梅田院) 中村にお任せ下さい! ☆☆美バストを目指して! No.226  ≪リッチバスト脂肪幹細胞注入法≫☆☆
2011年06月15日画像あり池袋院院長 (新宿院・大阪梅田院) 中村にお任せ下さい! ☆☆ご自分の脂肪で若返り! No.86 ≪リッチフェイス法(目の下・目の上)≫☆☆
2011年06月14日画像あり池袋院院長 中村のSBC美容ブログ  バックナンバー1  ≪美バストを目指して!≫
2011年06月13日画像あり池袋院院長 中村のSBC美容ブログ  バックナンバー2  ≪美BODYを目指して!≫
2011年06月12日画像あり池袋院院長 中村のSBC美容ブログ  バックナンバー3  ≪アンチエイジング・フェイスライン≫
2011年06月11日画像あり池袋院院長 中村のSBC美容ブログ  バックナンバー4  ≪美瞳を目指して!≫
2011年06月10日画像あり池袋院院長 (新宿院・大阪梅田院) 中村にお任せ下さい! ☆☆美バストを目指して! No.225  ≪リッチバスト脂肪幹細胞注入法≫☆☆
2011年06月09日画像あり池袋院院長 (新宿院・大阪梅田院) 中村にお任せ下さい!美BODY脂肪吸引 No.213 ☆☆美フェイスラインを目指して! ≪根こそぎボディジェット脂肪吸引(ホホ・アゴ) No.7≫☆☆
2011年06月08日画像あり池袋院院長 (新宿院・大阪梅田院) 中村にお任せ下さい! ☆☆美瞳を目指して! No.199 ≪24Hクイック法(両眼3点)≫ ☆☆狭い末広型を、最小限のダウンタイムで、綺麗な平行型に!!
[ ←前 ] [ 次→ ]
 
池袋院院長 (新宿院・大阪梅田院) 中村にお任せ下さい! ☆☆ご自分の脂肪で若返り! No.86 ≪リッチフェイス法(目の下・目の上)≫☆☆ 2011年06月15日



池袋院院長 中村

フォトギャラリー症例数 ダントツトップ!

リアルをお伝えします!!


アンチエイジングは、池袋院院長 中村にお任せください。







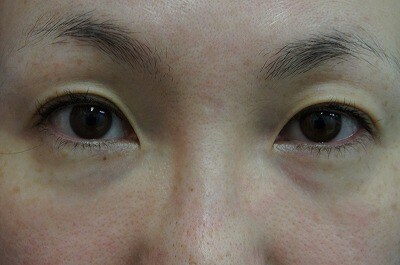
写真は40歳代前半女性です。

私中村に、

『目の上と目の下の凹みが気になる・・・』

とのご相談をいただき、


私中村担当にて、≪リッチフェイス法 目の上・目の下≫の施術を、受けていただきました。


目の上下の凹みが目立たなくなり、お悩み解消につながりました!

お顔により自信を持っていただき、より前向きなお気持ちに繋がり、より良い人生を送っていただければ嬉しいです☆


切らない方法で傷あとは残りませんし、ヒアルロン酸より勝る点は、効果が永続的ということです。




1、術前・・・ここ最近、目の上と下の凹みが気になる、、、とのご相談をいただきました。



2、術後1ヶ月・・・気にしていた目の上下の凹みが少なくなり、悩みが解消した!と、喜んでいただけました☆この方の自信につながり、より良い充実した人生をお送りいただければ、僕は嬉しいです^^



3、術前



4、術後1ヶ月



5、術前



6、術後1ヶ月






目の上下の凹み・ほうれい線・口角・ゴルゴラインでお悩みの方は、私中村にご相談くださいませ!

それぞれの若返りの施術を詳しくご説明させていただき、最小限のご負担で最大限の効果を出せる方法を、ご提案させていただきます。



                  
池袋院院長 中村大輔





中村のSBC美容ブログ  バックナンバー@  ≪美バスト≫ 

中村のSBC美容ブログ  バックナンバーA  ≪美BODY≫

中村のSBC美容ブログ  バックナンバーB ≪アンチエイジング・フェイスライン≫
中村のSBC美容ブログ  バックナンバーC  ≪美瞳≫




【Dr中村プロフィール】【Dr中村フォトギャラリー】【Dr中村お客様の声】

【Dr中村無料メール相談】【Dr中村モニター募集一覧】【Dr中村ブログ】